しらしげ歯科医院 アクセスマップはこちらから! しらしげ歯科医院 電話 092-936-0068

福岡県志免町の歯医者「しらしげ歯科医院」 虫歯・歯周病・小児・矯正・インプラント・予防・審美・義歯(入れ歯)


院長プロフィール
歯科医療 研修履歴
医院案内
診療理念
3つの約束
歯科医師紹介
医院の風景
歯科医師臨床研修施設
診療案内です。
一般歯科
小児歯科
予防歯科
パーフェクトPMTC
矯正歯科
ホワイトニング
インプラント
義歯・入れ歯
診療システム
一般歯科診療
歯科・予防システム
歯周治療システム
設備案内
予約のお申し込み
関連サイトへのリンク
TOPページへ移動。
むし歯チェック
歯周病チェック
福岡 博多 志免町 しらしげ歯科医院 モバイルサイト

九州大学病院連携医療機関

九州中央病院
医療連携登録医療機関

福岡県がん診療
連携登録歯科医

歯周病・糖尿病
医科歯科連携協力歯科医院

九州大学病院
複合型歯科医師臨床研修
協力型臨床研修施設

しらしげ歯科医院公式LINE
しらしげ歯科医院公式LINE

矢印診療案内矢印診療システム

診療案内 自費料金表

矢印一般歯科矢印小児歯科矢印予防歯科矢印矯正歯科矢印床矯正
矢印ホワイトニング矢印インプラント矢印義歯(入れ歯)
一般歯科
一般歯科

保険治療を基本に、表面麻酔や電動麻酔注射器、レーザー治療器を導入して出来るだけ痛みのない無痛治療を志しています。

また、治療技術や応用力を屈指して、歯をできるだけ削らない・残すための治療(MI治療)を医院の基本としておこなっております。

小児歯科
EX Kodomoシリーズ フッ素塗布やシーラントなど虫歯の予防処置に力を入れています。ブラッシング指導は必要に応じて保護者の方向けの仕上げ磨きの指導も行っています。
また、正しい歯列育成のために咬合の誘導管理も行っています。
矯正前 矯正後
矯正前 矯正後

予防歯科
いつまでも健康的で楽しい食生活をおくって頂くために、口腔の健康の維持管理に努めています。そのため定期的に来院して頂き、口腔内診査およびPMTCを行なう予防歯科をおこなっています。
予防歯科では、歯石除去・PMTC・フッ素塗布・洗口・ブラッシング指導などをおこない、ご家庭での虫歯、歯周病の予防・管理の手助けを行なっています。

PMTCとは・・・
受診者の方々がホームケア(自宅)でコントロールしにくい部分を、プロの手によって隅々まで器械的に清掃する方法です。
この定期健診(リコール)が口腔の健康の維持・増進のための大部分を占めています。
歯周治療とは・・・
しらしげ歯科医院では、位相差顕微鏡と薬を使って歯周病を治す歯周内科治療をおこなっています。
歯周病の治療は、むし歯の治療と違い、患者さん自身の取り組みが一番大切です。地味で時間もかかりますが、あなた自身の歯の健康を取り戻すためです。私たちもベストを尽くしますので、治療が終了するまでご一緒にがんばりましょう。
HOMEこのページのトップへこのページのトップへ
矯正歯科
がたがたの歯はいやだよ~ キレイな歯になった~


歯並び・咬み合わせを整える本格矯正&美しさを追求するプチ矯正

プチ矯正・本格矯正


本格矯正の一番の目的は“よく噛める状態に歯並びや咬み合せを整えること”です。
見た目はもちろん、虫歯や歯周病の予防、ひいては全身の健康に大きな効果の期待できる最もお勧めの治療方法です。

プチ矯正の最大のメリットは“治療期間が短いこと、費用が比較的安価なこと”です。
歯並びや咬み合せ全体を整える治療ではないため、状態によっては適用できないこともありますが、部分的な歯並びの改善をお望みの方にはお勧めの治療方法です。

当院では日本矯正歯科学会の指導医が矯正治療を担当しており、また難症例に関しては九州大学と連携して治療にあたっております。

矯正前 矯正後
矯正前 矯正後

HOMEこのページのトップへこのページのトップへ
ホワイトニング自費料金表

ホワイトニング ホワイトニングにはホームホワイトニングとオフィスホワイトニング、両方を併用するデュアルホワイトニングがあります。

ホームホワイトニングはホワイトニング剤を塗ったマウスピースを装着して歯を白くしていく方法です。1日8時間ほど装着する必要があるため、おもに就寝時に行います。
約1ヶ月で白い歯に生まれ変わります。時間をかけてじっくりと歯を白くしていくため、歯の白さが長持ちします。
個人差はありますが、症例によってはかなり白い歯になるため皆さんに満足して頂いています。

ホワイトニングで輝く笑顔を振りまこう!

オフィスホワイトニングは歯科医院で行うホワイトニングです。
週に1回20分程度、ホワイトニング剤を塗布した専用トレーで歯を白くしていきます。
医院でおこなうため、高濃度のホワイトニング剤を使用でき、即効性に優れていますが、白さの持続性はホームホワイトニングより若干劣ります。

ホワイトニング前 ホワイトニング後
ホワイトニング前 ホワイトニング後

ホームホワイトニング料金表(消費税別)
  処置・内容 料金
初診 口腔内写真 トレー印象
レントゲン写真
歯石除去 口腔内清掃
保険診療
1回目 トレー上下
トレーケース
シリンジ1本
17,000円
2回目 シリンジ1本 口腔内写真 2,000円
3回目 同上 2,000円
4回目 同上 2,000円

4回で一度終了します

追加 シリンジ1本 口腔内写真 2,000円
数ヵ月間 2~3ヶ月毎に1~2回  
合 計   23,000円~

・ホワイトニング剤は11%と16%過酸化尿素の2種類使用します。ホワイトニング剤1本で1週間分です。

・1日8時間使用して下さい。

・4回で終了しますが希望により2~4回追加することも可能です。

・オフィスホワイトニングの併用の場合、毎回別に 2,000円の治療費がかかります。

HOMEこのページのトップへこのページのトップへ
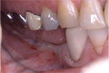
インプラント自費料金表

インプラント構造図 インプラントの成功率は昔に比べて大幅に向上しています。しかも、以前はあごの骨がないとあきらめていた症例にも、骨をつくってから植えたり、植えるのと同時に骨をつくったりできるようになり、インプラントの適応の幅もかなり広がっています。

例えば1・2本歯が抜けた場合、今までは健康な両隣りの歯を削ってブリッジにしていたのが、インプラントなら健康な歯を削らずにしっかり咬めるようになります。
残っている歯に対するダメージが全くないというのが大きな利点で、義歯がダメな方にも大変喜ばれています。
インプラント前 インプラント埋入 インプラント後
インプラント前 インプラント埋入 インプラント後

だからアンチエイジング、健康インプラント
HOMEこのページのトップへこのページのトップへ
義歯(入れ歯)自費料金表

咬む・話すといった機能回復を目的とした保健適用の入れ歯から、
使用感や審美性(見た目の美しさ)、機能の回復を追求した自費による入れ歯まで、患者さんの希望にそった最良の入れ歯を制作しています。

保険の入れ歯保険の入れ歯

主材料にレジン(プラスチック)を使用した入れ歯です。

安価で経済的ですが、日常生活における機能回復が目的なので、自然感などの審美性はあまり期待できません。

金属床義歯金属床義歯

フレームに金属を利用した厚みのないコンパクトさが金属床の特徴です。お口の機能回復はもちろん、自然感など審美性が高く、ぴったりした装着感も最高の入れ歯です。

金属にはコバルトクロムや白金加金、チタンなどがあり、金属アレルギーの方も利用できます。

磁性アタッチメント義歯磁性アタッチメント義歯

支えとなる歯に金属(磁性金属)、入れ歯側に超小型磁石を組み込んだ入れ歯です。

金属床義歯などとの併用で、よりガタつかないぴったりした快適な入れ歯が実現できます。

ノンクラスプデンチャー

入れ歯を固定する金属の針金のない、審美的に優れた軽くて丈夫な入れ歯です。

米国食品医薬品局の安全性及び生物学的試験に合格した特殊樹脂は樹脂アレルギーの方でも問題なく使用できます。
また、金属をまったく使わない入れ歯は金属アレルギーの方にも安心して利用できます。
シリコンデンチャー

シリコンデンチャー
HOMEこのページのトップへこのページのトップへ

診療システム
矢印診療システム矢印予防システム矢印歯周治療のシステム
診療システム
しらしげ歯科医院の治療は下の図のような流れで行っております。
診療システム図
HOME診療システムのトップへ診療システムのトップへこのページのトップへこのページのトップへ

予防システム
しらしげ歯科医院では、治療完了後、お口の健康のために定期的な検診を行っております。
検診の際は同時に歯垢・歯石の除去後PMTCも行っております。

PMTC
PMTCの手順
HOME診療システムのトップへ診療システムのトップへこのページのトップへこのページのトップへ

歯周治療のシステム
しらしげ歯科医院では歯周病の方向けの特別な治療システムを設けております。
歯周治療のシステム

歯周治療システム−歯周病は歯を失う原因のNo1!定期検診はきちんと受けましょう!

HOME診療システムのトップへ診療システムのトップへこのページのトップへこのページのトップへ